当前位置:肿瘤瞭望>百家>病例>正文

一线“卫”她丨抗HER2新拍档,艾立布林+伊尼妥单抗+吡咯替尼为一线治疗HER2阳性晚期乳腺癌带来更多选择

作者:肿瘤瞭望   日期:2025/2/20 11:15:12  浏览量:9238

肿瘤瞭望版权所有,谢绝任何形式转载,侵犯版权者必予法律追究。

HER2阳性乳腺癌约占所有乳腺癌的1/4。对于此类患者,抗HER2治疗联合化疗是当前的标准治疗策略。在化疗药物的选择上,艾立布林凭借其独特的机制和良好的耐受性,已成为治疗方案的重要选择。EMERALD研究显示,在HER2阳性晚期乳腺癌的一线治疗中,艾立布林联合HP双靶方案(曲妥珠单抗+帕妥珠单抗)在疗效上非劣于传统的紫杉醇联合HP双靶方案,且具有更好的耐受性和依从性,基于此,《CBCS小红书》2025版新增了曲妥珠单抗+帕妥珠单抗+艾立布林作为一线方案,为HER2阳性晚期乳腺癌提供了新的治疗思路。

编者按:HER2阳性乳腺癌约占所有乳腺癌的1/4。对于此类患者,抗HER2治疗联合化疗是当前的标准治疗策略。在化疗药物的选择上,艾立布林凭借其独特的机制和良好的耐受性,已成为治疗方案的重要选择。EMERALD研究显示,在HER2阳性晚期乳腺癌的一线治疗中,艾立布林联合HP双靶方案(曲妥珠单抗+帕妥珠单抗)在疗效上非劣于传统的紫杉醇联合HP双靶方案,且具有更好的耐受性和依从性,基于此,《CBCS小红书》2025版新增了曲妥珠单抗+帕妥珠单抗+艾立布林作为一线方案,为HER2阳性晚期乳腺癌提供了新的治疗思路
 
基于上述循证依据,浙江省肿瘤医院曹文明教授、温庆良教授在一例HER2阳性乳腺癌患者的治疗中进行了创新性探索。该患者在新辅助治疗、手术及辅助治疗后9个月出现疾病进展,一线治疗策略采用了艾立布林联合伊尼妥单抗和吡咯替尼的三联方案并取得了较好的疗效。这一案例不仅验证了艾立布林在HER2阳性乳腺癌治疗中的潜力,也为临床提供了新的优化策略和探索方向,进一步凸显了艾立布林在联合治疗中的独特优势和临床应用价值。
 
病例介绍
 
基本信息
 
患者,女,63岁(2024年)
 
主诉:2024年7月17日来我院就诊,诉右乳癌术后近2年,确诊复发转移2天。
 
其他:已绝经,个人史、既往史、家族史无特殊。
 
治疗过程

·2022年4月28日外院初诊
 
主诉:2021年触及右腋窝“鹌鹑蛋”大小肿块,质硬,活动度不详,无疼痛,至当地医院就诊,未见检查,后触及右乳长径约3cm肿块,质硬,活动度不详,无疼痛,未处理。
 
病理检查:转移或浸润性癌,cT2N1M0 IIB期,HER2阳性型。
 
免疫组化:ER(-)、PR(-)、HER2(3+)、Ki-67(约+25%)、P53(野生型)、GATA2(3+)、TTF-1(-)、CK7(3+)。
 
·2022年5月13日-2022年7月15日外院治疗
 
新辅助治疗:THP方案4次,疗效PR
 
·2022年8月5日外院治疗
 
手术:右乳改良根治术
 
手术病理:ypT1N3M0 IIIC期,HER2阳性型
 
右乳肿物大小2*1.5*1.5cm,右乳浸润性癌,考虑粘液腺癌,周边呈导管内癌图像,组织学分级难以评估,癌细胞部分退变,间质纤维化伴钙化及炎细胞浸润,脉管内见癌栓,神经未见明确癌组织侵犯,乳头及基底部均未见癌组织,腋窝淋巴结16/22枚见癌转移,其中4枚癌突破淋巴结被膜,MP3级,浸润癌细胞减少30%-90%。
 
免疫组化:ER(-),PR(-),HER2(1+),Ki-67(+>10%),FISH-HER2阳性。导管内癌,ER(-),大部分癌细胞已坏死和凋亡,无法显增值活性,故Ki-67(-)。
 
·2022年8月19日-2022年9月30日外院治疗
 
辅助治疗:CAF化疗3次
 
·2022年10月外院治疗
 
辅助放疗:18次
 
·2022年10月31日-2023年10月外院治疗
 
辅助治疗:HP靶向治疗17次
 
·2024年7月10日外院检查
 
影像检查:
 
B超:左侧锁骨上低回声(淋巴结?),较大约6.2*5.0mm。左侧腋窝淋巴结肿大,转移性?(见数个淋巴结样低回声,较大约35.6*19.8mm)。
 
CT:左侧腋下多发肿大淋巴结,较前片部分有所缩小,纵膈淋巴结较前片稍增大。
 
病理检查:
 
左腋窝肿块穿刺活检:转移或浸润性癌,脉管见癌栓,结合临床病史考虑乳腺来源可能。
 
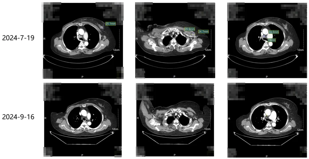
·2024年7月18日-2024年7月24日本院检查
 
影像检查:
 
B超:双侧锁骨上淋巴结(转移性考虑);右乳术后,右侧胸壁片状低回声区(转移性考虑);左乳片状低回声区(BI-RADS分类4A类,请结合穿刺结果);左侧腋窝淋巴结(转移性考虑)。
 
胸腹增强CT:右乳癌术后,右侧腋窝及右侧胸壁散在软组织影,右乳皮肤稍增厚,结合专项检查;左乳散在片状强化影;左乳皮肤增厚;左侧胸肌间隙及左侧腋窝多发肿大淋巴结;纵隔及右肺门稍大淋巴结;两侧内乳区、锁骨上及右侧心膈角散在淋巴结;右肺下叶实性微小结节。右侧胸腔少许积液。
 
颅脑MRT:未见异常。
 
全身骨显像:双侧膝关节、双侧足部代谢活跃,考虑骨关节良性病变,建议定期复查。
 
病理检查:
 
右胸壁结节针吸:转移或浸润性低分化癌。
 
左腋窝肿块穿刺:纤维、淋巴组织内见低分化癌,可见脉管瘤栓。
 
免疫组化:CK(+)、ER(-)、PR(-)、Her2(BC)(3+)、Ki-67(+,20%)、AR(++,20%)、GATA3(+)、TRPS1(灶+)。
 
·2024年7月27日-2024年12月30日本院治疗
 
一线治疗:艾立布林+伊尼妥单抗+吡咯替尼3次,疗效PR。
 
·2024年9月16日本院随访
 

病例总结
 
本病例是一例经过THP新辅助治疗之后non-pCR的HER2阳性乳腺癌患者,手术后经过辅助化疗、辅助放疗以及长期的HP双靶辅助治疗,达到26个月的DFS;患者在辅助治疗9个月后复发。
 
在经过对EMERALD研究以及真实世界临床研究进行评估后,由于艾立布林较紫杉类的耐受性表现更好,为了给患者争取更长时间的生存获益,我们对患者采用了艾立布林+伊尼妥单抗+吡咯替尼一线治疗方案,并取得了PR的控制效果,为抗HER2治疗带来了新的思路。
 
专家点评
 
本病例为63岁的HER2阳性转移性乳腺癌患者。在早期阶段,患者在以曲妥珠单抗、帕妥珠单抗(HP)双靶为基础的新辅助治疗后行手术治疗,显示non-pCR,后继以辅助化疗、辅助放疗、HP双靶辅助治疗,取得长达26个月的DFS,抗HER2治疗疗效显著。
 
该患者在HP双靶辅助治疗结束后9个月发生了复发转移,病理检查示HER2阳性。根据《中国临床肿瘤学会(CSCO)乳腺癌诊疗指南2024》定义指出,曲妥珠单抗辅助治疗停药1年以上为“曲妥珠单抗治疗敏感”人群。因此,该患者属于曲妥珠单抗治疗失败人群,不宜采用以曲妥珠单抗为基础的治疗方案。
 
我院一项针对HER2阳性晚期乳腺癌的真实世界研究探索了伊尼妥单抗+吡咯替尼+化疗在一线及二线应用的治疗效果,显示该方案在一线应用时mPFS可达15个月,提示了伊尼妥单抗+吡咯替尼这种“大小双靶”抗HER2治疗的潜在优势。
 
伊尼妥单抗+吡咯替尼+化疗治疗HER2阳性晚期乳腺癌RWS
 
在所联合的化疗药物选择方面,我们回顾了可能的组合搭配,以期遴选抗HER2治疗的最佳拍档。近期EMERALD研究显示,艾立布林联合HP双靶与紫杉醇联合HP双靶在ORR(76.8%vs 75.2%)、mPFS(14.0个月vs 12.9个月,HR:0.95,P=0.6817)、mOS(未达到vs 65.3个月,HR:1.09,P=0.7258)方面均取得了非劣效结果。
 
EMERALD研究中艾立布林组及紫杉醇组的PFS和OS
 
该研究中艾立布林在耐受性及安全性方面也取得了良好的表现。艾立布林组中位治疗周期数超过9个周期,紫杉类组的为6-7个周期;艾立布林组的中位治疗持续时间为28.1周,紫杉组为18-20个周,可见艾立布林组耐受性良好。在安全性方面,尽管艾立布林组的治疗周期及治疗时间更长,但其≥3级不良反应发生率与紫杉组相似(58.9%vs 59.2%),从而为临床抗HER2治疗提供了可替代的化疗组合。
 
EMERALD研究中艾立布林组及紫杉醇组安全性表现
 
基于该研究,艾立布林成功获得了《中国抗癌协会乳腺癌专业委员会(CBCS)&中华医学会肿瘤学分会乳腺肿瘤学组(CSOBO)乳腺癌诊治指南与规范精要本(2025年版精要本)》的推荐。
 
《CBCS小红书》2025版的HER2 MBC治疗方案
 
我们考虑到该患者此前使用过紫杉醇,为防止交叉耐药发生,加之EMERALD研究中艾立布林较紫杉类在腹泻、水肿、皮肤相关事件等安全性表现更优,故而选择了艾立布林作为伊尼妥单抗+吡咯替尼+化疗方案中治疗方案的化疗药物且取得了PR的结果,期待通过更多临床的广泛验证,为HER2阳性晚期乳腺癌的治疗提供新思路和新选择。
 
病例作者简介
 
温庆良
浙江省肿瘤医院乳腺肿瘤内科
主治医师
以第一作者或通讯作者发表论文9篇,其中SCI收录5篇。主持和参与多项国家级及省厅级课题。
 
点评专家简介
 
曹文明教授
博士,主任医师,硕士生导师
浙江省肿瘤医院乳腺内科医疗组长
中国抗癌协会家族遗传性肿瘤专委会常委
中国抗癌协会乳腺癌专委会青年专家
浙江省抗癌协会家族遗传性肿瘤专委会副主委
浙江省遗传学会生殖相关肿瘤和遗传专委会副主委
浙江省细胞生物学学会医学细胞生物学专委会副主委
浙江省抗癌协会肿瘤转移专委会常委
浙江省抗癌协会肿瘤微环境专委会常委
浙江省抗癌协会肿瘤内科专委会委员、秘书
浙江省抗癌协会肿瘤临床药学专委会委员
浙江省卫生高层次人才“医坛新秀”培养对象
美国MD安德森癌症中心访问学者
以第一或通讯作者(含并列)在J Clin Oncol、Nat Commun等杂志发表SCI论文20余篇
BMC Cancer杂志编委

本内容仅供医学专业人士参考


乳腺癌

分享到: 更多