当前位置:肿瘤瞭望>百家>病例>正文

龚畅/曾银朵教授分享:一例弥漫性肝转移并高钙血症危象的年轻晚期乳腺癌患者的成功救治经验

作者:肿瘤瞭望   日期:2025/5/21 10:54:14  浏览量:15090

肿瘤瞭望版权所有,谢绝任何形式转载,侵犯版权者必予法律追究。

乳腺癌作为全球女性最常见的恶性肿瘤,其晚期转移常伴随高钙血症、内脏危象等严重并发症,威胁患者生命。本期,我们分享一例弥漫性肝转移并高钙血症危象的年轻晚期乳腺癌患者的治疗经历,本例患者的治疗涉及两个核心问题:1、高钙血症危象的抢救;2、晚期肿瘤患者体弱难以耐常规化疗时,如何制定个体化治疗方案以平衡疗效与耐受性?本期病历由中山大学孙逸仙纪念医院罗思敏医生进行整理,并特邀中山大学孙逸仙纪念医院龚畅、曾银朵教授进行点评。

编者按:乳腺癌作为全球女性最常见的恶性肿瘤,其晚期转移常伴随高钙血症、内脏危象等严重并发症,威胁患者生命。本期,我们分享一例弥漫性肝转移并高钙血症危象的年轻晚期乳腺癌患者的治疗经历,本例患者的治疗涉及两个核心问题:1、高钙血症危象的抢救;2、晚期肿瘤患者体弱难以耐常规化疗时,如何制定个体化治疗方案以平衡疗效与耐受性?本期病历由中山大学孙逸仙纪念医院罗思敏医生进行整理,并特邀中山大学孙逸仙纪念医院龚畅、曾银朵教授进行点评。

病例介绍
 
2024年春天,24岁的未婚女性黄某(化名)偶然发现自己左乳有肿块,起初并未在意。但随着肿物悄然增大,病情突然急转直下......
 
2024年7月初,女孩开始感到乏力和疲惫,食欲也逐渐减退。她本以为只是暂时不适,然而症状非但没有缓解,反而迅速恶化。频繁的恶心、呕吐和剧烈的腰背痛接踵而至。短短一周内,她已虚弱至极,卧床不起。更令人担忧的是,她开始出现心悸和呼吸困难,病情发展之迅猛,令人不寒而栗。
 
为了查明病因,女孩在家人的陪同下前往当地医院就诊,然而检查结果却如晴天霹雳:她左侧乳房的肿物高度怀疑为乳腺癌,她的胸椎出现可疑病变,肝脏更是密布着数不清的、如同牛眼般大小的病灶。女孩的病情错综复杂且极其严重,脆弱的生命之花在风雨之中摇摇欲坠,时间就是生命!家属当机立断,立即带着女孩来到龚畅教授门诊。
 
诊疗经过

2024.7乳腺彩超
 
1、左乳肿物,大小约4.3*1.8*3.7cm,考虑乳腺癌可能性大(BI-RADS:5);
 
2、右乳未见明确异常(BI-RADS:1);
 
3、左侧腋下组、腋中组及腋上组见多发淋巴结声像,较大者2.3*0.7cm,考虑转移;
 
4、右腋下、双侧锁骨上区、内乳区未见明显异常淋巴结。
 
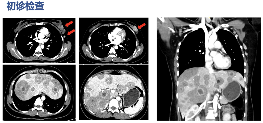
2024.7.22胸上腹部CT
 
1、左乳外上及外下象限乳腺癌(大小约32.1mm×17.5mm),左侧腋窝、内乳动脉旁淋巴结转移;
 
2、肝脏弥漫性转移瘤(最大者位于肝S6/7,约96mm×68mm,肿块侵犯右肾上腺);
 
3、胸椎多发转移瘤
 
 
2024.07头颅MR
 
未见异常。
 
2024.7(左乳肿物)穿刺病理
 
乳腺浸润性癌,非特殊类型,III级。IHC:ER约90%强(+)、PR约10%弱-强(+)、HER2(3+)、Ki67约65%(+)。
 
 
生化
 
血钙:4.98mmol/L↑,ALT:428U/L↑,AST:381U/L↑,肌酐:174μmol/L↑。N端脑钠肽前体:1003pg/ml;肌钙蛋白I定:0.021ug/L(正常)。
 
甲状旁腺素
 
PTH 9pg/ml(低于正常)。
 
心电图
 
窦性心动过速(心率102次/分),T波低平。
 
心脏彩超
 
二尖瓣、三尖瓣、肺动脉瓣轻度反流;左室、右室收缩功能正常(EF:69%)。
 
诊断:1、左乳癌伴多发转移(弥漫性肝转移、骨转移)IV期luminalB2型(HR阳/HER2阳性)2、高钙血症3、肝功能异常4、急性肾损伤

患者表现出明显的乏力、食欲不振、恶心、呕吐和多尿等症状,同时血钙水平异常升高,高钙血症诊断明确,并伴有肝肾功能受损。高钙血症是一种常见且可能危及生命的肿瘤代谢急症。患者随时可能出现意识障碍、昏迷、心律失常甚至心脏骤停等危及生命的情况,因此抢救工作刻不容缓!
 
在乳腺外科龚畅教授和乳腺内科曾银朵教授的带领下,第一时间为患者进行心电监护、大量补液、利尿、降钙素泵入等紧急处理,并联系我院肾内科血液透析团队急会诊,同时行床边连续性血液透析治疗。在团队的紧密协作与不懈努力下,患者的高钙血症危象得到了迅速且有效的控制。入院仅48小时,复测血钙浓度降低至2.64mmol/L。同时,乏力、恶心、呕吐等症状明显缓解,患者及其家属一直悬着的心,终于放了下来。
 
虽取得了第一阶段的胜利,但是患者的危机仍未解除。患者弥漫性肝转移导致正常的肝脏已所剩无几,肝脏功能严重损害,转氨酶进行性升高,已达正常上限的20倍(ALT:684U/L↑,AST:735U/L↑),此种情形下,抗肿瘤治疗方案的制定陷入两难,疗效与患者身体状况的平衡,恰似“带着镣铐跳舞”般艰难。
 
因此,为了兼顾抗肿瘤疗效与姑息支持,以保障患者的生命安全,龚畅教授和曾银朵教授共同组织发起了全院多学科会诊,联系了乳腺内科、乳腺外科、内分泌科、肾内科、心内科、消化内科、放射介入科、影像科等多学科专家共同协作。
 
多学科专家会诊建议:
 
内分泌科:患者的甲状旁腺彩超检查均未见异常,甲状旁腺素曾出现一过性降低,后恢复正常,暂不考虑原发性甲状旁腺功能亢进所致高钙血症。骨二项显示:25羟维生素D低于正常值(56.3nmol/L),排除维生素D相关高钙血症。结合病史,患者有乳腺恶性肿瘤病史伴多发骨转移,高钙血症最可能的病因是恶性肿瘤相关的高钙血症。患者存在多发骨转移瘤,骨破坏是明确的钙释放来源。血钙现已降至2.64mmol/L,一般情况好转。建议继续目前补液、水化、利尿、补充电解质(钾、钠)、降钙素、地舒单抗、护肝等治疗。每天一次或隔天一次复查血钙。积极治疗乳腺原发病。
 
心血管内科高钙血症所致的代谢性心肌损伤,使患者出现电生理紊乱(窦速、T波低平)及心肌细胞应激(NT-proBNP升高)。建议动态复查N-端脑钠肽前体、心脏超声、肌钙蛋白I/T。因患者为HER2阳性乳腺癌,后续使用曲妥珠单抗药物期间,建议行预防性护心治疗(美托洛尔23.75mg qd或西红花总苷2#bid,维立西呱2.5mg qd、伊伐布雷定2.5-5mg bid)。
 
肾内科:患者肌酐174μmol/L,低钾血症,考虑为肾小管间质损伤,高钙血症所致肾小管酸中毒,建议予以枸橼酸钾治疗低钾血症。予以非布司他40mg qd降尿酸。密切关注血钙指标,必要时可再次血透。
 
消化内科:患者乙肝及肝炎系列检查均为阴性,排除相关病毒性因素;但胆红素轻度升高,肝转氨酶明显升高,考虑与弥漫性肝转移瘤导致的肝功能受损相关。护肝方面:予天晴甘美、阿拓莫兰护肝,思美泰退黄,注意复查肝功生化,保持大便通畅。可予泌特2#tid/多维合剂10ml tid改善胃纳差。纠正电解质紊乱。
 
介入科:患者乳腺癌伴肝多发转移,肝转氨酶升高,可择期行介入局部肝转移灶化疗栓塞术,控制肝内病灶
 
影像科:患者为年轻女性,乳腺癌病史伴多发骨转移,CT提示肝脏多发病灶(可疑转移瘤),无乙肝/肝硬化病史。患者的病灶特点为肝脏多发病灶,随机分布,大小不一。乳腺癌肝转移典型表现为动脉期边缘环形强化(“牛眼征”)或均匀强化,门脉期造影剂廓清,中心坏死常见,与患者CT表现相符。而原发性肝癌多为单发/寡发病灶,典型“快进快出”强化(动脉期明显强化,门脉期退出),常伴包膜或门脉癌栓,本例未见此类特征,因此暂不考虑原发性肝癌。
 
乳腺肿瘤内科:患者已处于肿瘤晚期,全身肿瘤负荷严重,肝脏出现弥漫性转移,且存在多个骨转移瘤。同时,患者伴有电解质紊乱及多器官功能受损,无法承受常规化疗方案,建议采用个体化的“缓步慢跑三阶梯方案”。
 
初始抗肿瘤治疗方案采用“内分泌药物联合曲妥珠单抗(周疗)”,若患者可耐受,后续可调整为“小剂量白蛋白紫杉醇或紫杉醇联合曲妥珠单抗(周疗)±吡咯替尼”。
 
第一阶梯治疗:
 
患者2024.07.26接受曲妥珠单抗(周疗,首次4mg/kg)+戈舍瑞林+托瑞米芬治疗
 
因患者入院后D-二聚体持续性升高,考虑患者肿瘤负荷大且血液高凝状态,有血栓形成的风险,2024-08-01查双下肢动静脉彩超:右侧髂外静脉及右侧股静脉内血栓形成(部分阻塞,范围约45mm*3.6mm)。经血管外科会诊后,予以“低分子肝素0.4ml ih Q12h”抗凝治疗,并双下肢制动1周。
 
1周后复查双下肢动静脉彩超:右侧髂外静脉及右侧股静脉内血栓范围较前缩小(部分阻塞,范围约39mm*3.2mm)。抗凝治疗改为利伐沙班10mg bid抗凝治疗2-3周,后续可调整为利伐沙班10mg qd抗凝治疗2-3月,定期检测D二聚体等指标的变化情况。
 
 
第二阶梯治疗:
 
2024年8月7日复查结果显示,患者血钙水平稳定在正常范围内(血钙:2.15 mmol/L),肝功能明显好转(ALT:219 U/L↑,AST:123 U/L↑)。基于此,抗肿瘤治疗方案调整为“小剂量白蛋白紫杉醇(80mg/m2)联合曲妥珠单抗(周疗,2mg/kg)”。完成一个周期治疗后,患者一般情况得到明显改善。
 
血清钙、肌酐、转氨酶
 
第三阶梯治疗:
 
鉴于患者身体状况及实验室指标显著改善,为增强抗肿瘤疗效,2024年8月21日科室MDT建议将抗肿瘤治疗方案调整为“THPy方案,白蛋白紫杉醇联合曲妥珠单抗联合吡咯替尼(初始剂量为80mg qd,根据耐受性,并逐步增加至400mg qd)。
 
患者于2024-8-22至2024-9-12完成第2、3周期抗肿瘤治疗。3程后疗效评估PR(左乳肿物缩小,肝转移灶明显缩小、减少)
 
2024.10胸腹部CT对比2024.7.22 CT(治疗前)片
 
1、左乳外上及外下象限乳腺癌,较前缩小(32.1mm×17.5mm→12mm×17mm),左侧腋窝小淋巴结(最大者约4mm×6mm),较前缩小、减少,考虑治疗后改变,建议随访。
 
2、肝脏弥漫性转移瘤(最大者位于肝S7,96mm×68mm→28mm×16mm),较前缩小。
 
3、T2、T3、T4椎体多发转移瘤,同前相仿。
 
 
2024.10复查双下肢动静脉彩超
 
双侧髂外静脉、大隐静脉近心端、股静脉、腘静脉、胫前静脉、胫后静脉、腓静脉、小腿肌间静脉血流通畅,未见明显栓塞
 
患者于2024.10.09至2025.02.17继续完成第4-9周期抗肿瘤治疗。
 
治疗期间耐受性好,未见明显不良反应。
 
8程后疗效评估PR(左乳肿物进一步缩小,肝转移灶明显缩小、减少)。
 
2024.01.21胸腹部CT(8程后)对比2024.10.14前片
 
1、左乳外上及外下象限乳腺癌,较前缩小(12mm×17mm→12mm×9mm),左侧腋窝小淋巴结,同前相仿,考虑治疗后改变。
 
2、肝脏弥漫性转移瘤,较前缩小、减少(最大者位于肝S5/8,约20mm×16mm)。
 
3、T2、T3、T4椎体多发转移瘤,同前相仿。
 
 
9程THPy治疗后,疾病控制良好。2025年3月起,开始维持治疗(内分泌联合靶向治疗):戈舍瑞林+阿那曲唑+曲妥珠单抗+吡咯替尼。
 
专家点评
 
龚畅教授:本案例涉及一名年轻女性患者,确诊为三阳性晚期乳腺癌,病情复杂且危重。初诊时已发现多处转移,尤其是肝脏出现弥漫性转移瘤,转氨酶水平超过正常上限20倍,表明存在严重的肝功能损害。此外,患者因多发性骨转移导致骨组织严重破坏,进而引发高钙血症,这是一种危及生命的并发症,通常仅见于约15%的乳腺癌患者。此时,若不能迅速采取有效的抗肿瘤治疗,患者病情将迅速恶化,直接危及生命。此外,患者整体状况极差,伴随高钙血症、肝肾功能异常及血栓形成等多种并发症,救治难度极大。因此,迫切需要多学科团队会诊,以制定并实施快速有效的综合治疗方案,从而遏制疾病进展并改善患者预后。通过及时和科学的诊治,患者最终实现了疾病缓解,获得了较高质量的生活。
 
曾银朵教授:《中国晚期乳腺癌规范诊疗指南(2024版)》[1]指出,内脏危象指通过症状、体征、实验室检查、疾病迅速进展来评估的严重脏器功能异常。内脏危象并非指单纯的内脏转移,而是指重要的器官损害要快速有效的治疗以控制疾病进展,尤其是进展后就失去进一步治疗机会的情况。以下几种情况均属于内脏危象:(1)肺部癌性淋巴管炎,静息状态下需要吸氧;(2)静息时呼吸困难加重,胸腔积液引流不能缓解;(3)弥漫肝转移并且胆红素≥1.5倍正常值上限(无胆道梗阻的情况下);(4)广泛的骨髓转移;(5)脑膜转移;(6)有症状的脑实质转移。
 
根据第6版和第7版《晚期乳腺癌国际共识指南》(ABC指南)[2],内脏危象的治疗应综合考虑治疗目标、分子分型、药物潜在毒性及疗效。多数临床试验排除了内脏危象患者,导致其治疗选择和循证医学证据均较为匮乏。对于伴有内脏危象的弥漫性肝转移患者,由于严重的肝功能损害,治疗选择受限。此类患者通常推荐采用低剂量和周疗模式(证据等级:IV,推荐等级:B,共识度:93%)。对于伴有内脏危象的患者,低剂量每周紫杉醇、白蛋白结合型紫杉醇、铂类以及其他单药化疗方案的应用是可行的[3],但目前尚无确凿证据表明哪一种方案最为有效。
 
龚畅教授:肿瘤相关性高钙血症是恶性肿瘤的代谢并发症,约有2%~30%的癌症患者会发生高钙血症,其发生率因癌症类型和疾病阶段而异。最常见于实体肿瘤,尤其以非小细胞肺癌、乳腺癌、多发性骨髓瘤、头颈部鳞状细胞癌、尿道癌及卵巢癌多见。晚期癌症患者更易出现高钙血症,提示预后不良。
 
根据血清总钙水平,高钙血症分为轻度高钙血症,10.5-11.9 mg/dL;中度高钙血症,12-13.9 mg/dL;严重高钙血症,14 mg/dL。症状通常由血钙水平和血钙变化率决定。轻度高钙血症可无症状,也可伴有轻度非特异性症状,如嗜睡和肌肉骨骼疼痛。然而,严重且迅速发展的高钙血症可能导致严重的循环衰竭和急性肾功能不全,并可能使患者出现显著的意识障碍、精神状态改变,甚至昏迷[4]
 
恶性肿瘤体液性高钙血症涉及肿瘤细胞分泌系统作用因子,比如甲状旁腺激素相关蛋白(PTHrP)、1,25-二羟基维生素D、甲状旁腺激素(PTH)或其他细胞因子,这些因子作用于骨骼、肾脏和肠道,破坏正常的钙平衡。患有恶性肿瘤高钙血症的患者通常很少有或没有骨转移。发生高钙血症的肿瘤患者治疗更加复杂,早期研究表明高钙血症发作后患者的中位生存期仅30天,即便目前治疗方式更加成熟,治疗效果仍然很不理想,发作后的中位生存期为25至52天[5]
 
恶性肿瘤高钙血症在许多情况下代表肿瘤急症,因此患者需要紧急治疗控制症状。在临床中,常见的治疗方式包括静脉补液、呋塞米、降钙素、双膦酸盐、地舒单抗、糖皮质激素、西那卡塞及透析[6]。在本案例中,我们针对患者乳腺恶性肿瘤所致高钙血症危象及时进行大量补液、利尿、地舒单抗、血液透析等治疗,患者血钙水平及时控制在正常范围。
 
曾银朵教授:对于伴有内脏危象的HER2阳性晚期乳腺癌,即使初诊时已伴随严重器官功能障碍,抗HER2治疗药物应用仍是可行且至关重要的,可有效挽救受损器官功能。PHILA研究显示,吡咯替尼联合曲妥珠单抗和化疗可显著延长HER2阳性转移性乳腺癌患者的PFS(22.1个月vs 10.5个月),并为患者带来总生存获益[7]。鉴于该患者的体质状况,我们采取了从低剂量吡咯替尼逐渐递增至常规剂量的治疗策略,并联合使用曲妥珠单抗和化疗。3程治疗后,左乳肿物及肝转移灶的明显缩小与减少,疗效PR。吡咯替尼与曲妥珠单抗形成了“大小分子联合”的THPy方案,通过机制互补显著增强了疗效,为该三阳性晚期弥漫肝转移伴高钙血症危象年轻乳腺癌患者的治疗带来了显著获益,提高了患者的生存质量。

龚畅教授:三阳性乳腺癌(TPBC)是一种独特的分子亚型。对于晚期三阳性乳腺癌,抗HER2治疗联合化疗仍是标准治疗方案。根据《CSCO乳腺癌诊疗指南(2025版)》[8],对于三阳性乳腺癌患者,若无法耐受、拒绝化疗或在化疗后需维持治疗,可采用内分泌治疗联合抗HER2治疗(单靶或双靶)。抗HER2药物联合内分泌治疗模式已在多个研究中进行探索。
 
PERTAIN研究[9]结果显示,曲妥珠单抗(H)、帕妥珠单抗(P)联合芳香化酶抑制剂(AI)治疗TPBC,HP+AI显著延长一线TPBC的无进展生存时间(PFS)。PATINA研究显示[10],在TH±P诱导化疗后,接受哌柏西利联合抗HER2疗法及内分泌疗法的患者,中位无进展生存期(PFS)达到了44.3个月。ALTERNATIVE[11]研究显示,曲妥珠单抗、拉帕替尼联合来曲唑治疗TPBC,显著延长二线TBPC的PFS;LORDSHIPS研究显示[12],吡咯替尼、达尔西利联合来曲唑可为晚期后线三阳性乳腺癌患者带来11.3个月的PFS。
 
在后续的维持治疗阶段,需综合考虑患者的疗效及耐受性等因素,评估是否采用抗HER2与内分泌联合治疗方案,以期最大程度地提升患者的生存获益和生活质量。这位年轻患者,在接受了9程白蛋白紫杉醇+曲妥珠单抗+吡咯替尼治疗后,改为戈舍瑞林+阿那曲唑+曲妥珠单抗+吡咯替尼治疗至今,实现了高质量的生活。伴高钙血症的恶性肿瘤患者中位生存期仅25-52天[5],但这位年轻患者在逸仙乳腺肿瘤医院多学科诊疗(MDT)团队的精心治疗下,一线治疗疾病控制时间已超过1年,创造了生命奇迹。逸仙乳腺肿瘤医院为每一位乳腺癌患者提供全程、全方位的最佳诊疗策略,覆盖全生命周期,精心守护患者健康。
 
参考文献
 
[1]国家肿瘤质控中心乳腺癌专家委员会,中国抗癌协会乳腺癌专业委员会,中国抗癌协会肿瘤药物临床研究专业委员会.中国晚期乳腺癌规范诊疗指南(2024版)[J].中华肿瘤杂志,2024,46(12):1079-1106.DOI:10.3760/cma.j.cn112152-20241009-00435.
 
[2]6th and 7th International consensus guidelines for the management of advanced breast cancer(ABC guidelines 6 and 7).The Breast,2024,76.DOI:10.1016/j.breast.2024.103756.
 
[3]Benvenuti C,Gaudio M,Jacobs F,et al.Clinical Review on the Management of Breast Cancer Visceral Crisis[J].Biomedicines,2023,11(4).
 
[4]Whitney,Goldner.Cancer-Related Hypercalcemia.J Oncol Pract,2016,12(5):426-32
 
[5]Theresa A Guise,John J Wysolmerski.Cancer-Associated Hypercalcemia.N Engl J Med,2022,386(15):1443-1451
 
[6]Mirrakhimov AE.Hypercalcemia of Malignancy:An Update on Pathogenesis and Management.N Am J Med Sci.2015 Nov;7(11):483-93.
 
[7]《2024 CSCO乳腺癌诊疗指南》
 
[8]《CSCO乳腺癌诊疗指南(2025版)》
 
[9]Arpino G,de la Haba Rodriguez J,Ferrero J M,et al.Pertuzumab,Trastuzumab,and an Aromatase Inhibitor for HER2-Positive and Hormone Receptor–Positive Metastatic or Locally Advanced Breast Cancer:PERTAIN Final Analysis.Clinical Cancer Research,2023,29(8):1468-1476.
 
[10]I Witzel,M Reinisch,G Rinnerthaler,et al.Highlights from the San Antonio Breast Cancer Symposium 2024.Breast Care,2025,20(1):45–50.
 
[11]Johnston S R D,Hegg R,Im S A,et al.Phase Ill,Randomized Study of Dual Human EpidermalGrowth Factor Receptor 2(HER2)Blockade With Lapatinib Plus Trastuzumab in Combination With an AromataseInhibitor in Postmenopausal Women With HER2-Positive,Hormone Receptor-Positive Metastatic Breast Cancer:Updated ResuIts Of ALTERNATIVE.Journal of Clinical Oncology,2021,39(1):79-89.
 
[12]Zhang J,Meng YC,Wang BY,et al.Dalpiciclib Combined With Pyrotinib and Letrozole in Women With HER2-Positive,Hormone Receptor-Positive Metastatic Breast Cancer(LORDSHIPS):A Phase Ib Study.Front Oncol.2022 Mar 7;11:775081
 
点评专家简介
 
龚畅教授
中山大学孙逸仙纪念医院
乳腺外科教授/主任医师、博士生导师、博士后合作导师、现任乳腺肿瘤中心第二职工党支部书记,乳腺诊断专科主任
专业特长:擅长早期乳腺癌的保乳手术、前哨淋巴结活检术,乳腺肿瘤整形修复手术,金属marker精准定位无肿物乳腺微钙化灶切除,年轻乳腺癌个体化治疗,乳腺癌的分子靶向治疗和基因检测。转移性乳腺癌的综合治疗。
社会任职:中国抗癌协会乳腺癌整合防筛专委会常委、中国女医师协会乳腺专委会常委、中国抗癌协会乳腺癌专委会委员、中国女医师协会临床肿瘤专委会委员、广东省医师协会乳腺专科医师分会副主委、广东省精准医学应用分会癌症早筛早诊分会副主委、广东省抗癌协会癌症筛查与早诊早治专委会副主委、广东省临床医学学会泛家族遗传性肿瘤防控专委会副主委、广东省医学会乳腺病学分会常委。
学术成就:主持科技部国家重点研发计划(课题组长)1项、主持科技部重大专项(课题组长)1项、国家自然科学基金7项,省部级基金7项。CSCO基金2项。入选科技部、教育部、广东省杰青等人才项目5项。主编人卫出版社专著《组织标记在乳腺疾病精准诊疗中的应用》。研究成果获广东省科技进步二等奖(第一完成人),并被中国年轻乳腺癌诊疗专家共识以及包括研究生教材《疾病学基础》《肿瘤学》在内的17本参与编写的专著引用。授权专利14项,申请专利15项,开发软件2项。以第一/通讯在Cancer Cell,Cell Reports Medicine,MED,Molecular Cancer,Cancer Research,Advanced Science,Nature Communications发表论文47篇,总引用2771次,高被引论文3篇。
 
曾银朵教授
博士,副主任医师,硕士生导师
中山大学孙逸仙纪念医院乳腺内科
广东省胸部肿瘤防治研究会乳腺肿瘤内科专业委员会主任委员
中国医药卫生事业发展基金会乳腺肿瘤学组常委兼秘书长
广东省抗癌协会整合肿瘤心脏病学专业委员会副主任委员
广东省药学会第二届肿瘤全程管理专家委员会副主任委员
广东省卫生信息网络协会智慧肿瘤研究分会副会长
广东省临床医学学会泛家族遗传性肿瘤防控专业委员会常委
广东省胸部肿瘤防治研究会胸部肿瘤脑转移专业委员会委员
广东省抗癌协会乳腺癌专业委员会委员
中国抗癌协会肿瘤分子医学专业委员会委员
中国抗癌协会肿瘤标志专业委员会会员
主持国家自然科学基金青年基金1项
主持中山大学5010培育项目1项
主持逸仙临床研究培育项目1项
参加编写《临床肿瘤内科学》和《乳腺癌保乳治疗》
英国卡迪夫大学访问学者
参加多项国际及国内多中心临床研究
 
病例分享专家简介
 
罗思敏
中山大学孙逸仙纪念医院
逸仙乳腺肿瘤中心医师、硕士
广东省胸部肿瘤防治研究会乳腺肿瘤内科专业委员会委员
广东省医疗行业协会乳腺内科管理分会委员
CSCO晚期乳腺癌临床诊疗大赛“最佳问答奖”、华南大区一等奖
擅长晚期乳腺癌并发症的诊治,参与多项国内外乳腺癌新型药物临床研究项目,对乳腺癌靶免药物的不良反应管理有丰富经验

本内容仅供医学专业人士参考


乳腺癌

分享到: 更多