编者按:本期“例精图治”中,天津医科大学肿瘤医院的葛少华医师为我们汇报了一例HER-2阳性合并甲胎蛋白(AFP)升高的晚期胃癌患者,在无根治性手术及转化治疗机会的情况下,经过多学科讨论给予XELOX方案化疗联合抗HER-2靶向和PD-1单抗免疫治疗,后经CT判效后确认PR,目前疗效维持时间已超过8个月,仍继续给予卡培他滨联合曲妥珠单抗及PD-1单抗维持治疗中。对于HER-2阳性的胃癌,目前小样本研究提示在化疗联合曲妥珠单抗的基础上,PD-1单抗可以锦上添花。而对于AFP升高预后不良的胃癌患者,该病例提示,免疫治疗或许是改善预后的一条途径。
病例报告:葛少华 天津医科大学肿瘤医院
患者,男,54岁,主因“发现胃癌肝转移2周余”入院。既往史及家族史无特殊。
体格检查:身高173cm,体重53kg,ECOG评分1分。无贫血貌,皮肤巩膜无黄染、无出血点,浅表淋巴结未及肿大,全腹无明显压痛、反跳痛,无肌卫,肠鸣音无亢进,未及明显肿块,肛指(-)。
辅助检查:
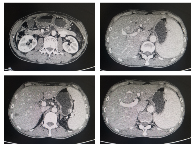
上腹CT:肝内多发低密度结节,胃窦区胃壁增厚(图1)。
胃镜:胃窦可见巨大隆起性病变,胃窦结构显示不清,幽门镜身不能通过。镜下诊断:胃窦病变,癌?病理:(胃窦)腺癌。
免疫组化:HER-2(3+),MSH2(+),MSH6(+),PMS2(+),MLH1(+)。原位杂交:EBER(-)(图2)。
肿瘤标志物:AFP 1335ng/ml,CEA 8.82ug/L,NSE 16.93ng/ml,CA724 9.08U/ml,CA19-9 22.35U/ml,CA242 9.18IU/ml。
入院诊断:胃癌(cTxNxM1,IV期)
小结:中年男性,晚期胃癌伴多发肝转移诊断明确,病理检测提示HER-2阳性、pMMR、EBER阴性。讨论目的:诊断及后续治疗方案。
影像科:从CT看,该患者胃窦区胃壁增厚,肝内多发结节,结合胃镜及病理结果,考虑原发性胃癌诊断明确,肝脏病灶为转移性病灶,因此,考虑胃癌晚期伴多发肝转移诊断成立。
病理科:根据胃镜活检病理,该患者胃腺癌诊断明确,分子检测提示HER-2阳性,结合其他分子检测结果提示分子分型上不属于EBV感染型和微卫星不稳定型。
外科:目前考虑为晚期胃癌伴多发肝转移诊断明确,无根治性手术及转化治疗机会,目前不推荐手术治疗,行胃镜检查时镜身不能通过幽门,可能存在幽门梗阻风险,不除外存在姑息性手术的需求,目前建议先内科治疗并观察。
内科:根据分期及病理结果,晚期胃癌诊断明确,以内科治疗为主的综合治疗。HER-2阳性,可考虑XELOX方案联合曲妥珠单抗作为一线治疗。患者血清AFP明显升高,提示预后不良。目前小样本的Ⅰ期研究结果显示,37例HER-2阳性的胃癌患者,XELOX联合曲妥珠单抗和免疫检查点抑制剂PD-1单抗治疗的有效率87%,疾病控制率100%。Ⅲ期的确证研究正在进行中。考虑到以AFP升高为特征的肝癌在免疫治疗方面取得了突破性的治疗疗效,因此,与患者及家属充分沟通,告知利弊,可考虑在化疗联合曲妥珠单抗的基础上,联合PD-1单抗治疗。
MDT汇总意见:HER-2阳性晚期胃癌伴多发肝转移诊断明确,伴血清AFP升高,目前无外科手术干预指征,以内科为主的综合治疗首推荐。
治疗:予以XELOX+曲妥珠单抗+纳武单抗方案治疗7周期。
不良反应:Ⅰ级消化道反应、Ⅰ级急性神经毒性、Ⅰ级过敏(考虑奥沙利铂所致)
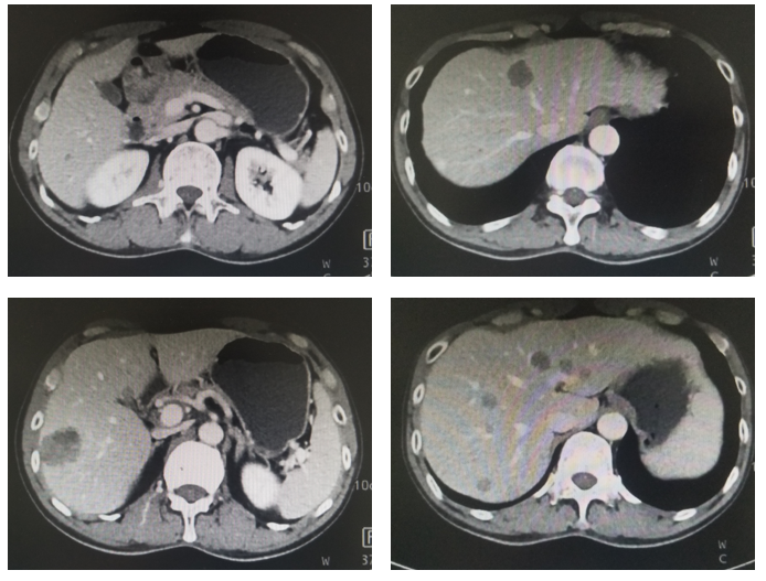
评估:治疗后3月和5月复查腹部CT情况(图2和图3).
图3. 腹部CT平扫+强化(治疗后2月,2020年1月)

图4. 腹部CT平扫+强化(治疗后5月,2020年3月)
阶段小结:目前行XELOX+曲妥珠单抗+PD-1单抗共治疗7周期,出现Ⅰ度末梢神经毒性和奥沙利铂过敏,下一步进行MDT评估治疗疗效及后续治疗方案。
外科:内科治疗效果很好,影像学判效PR,未转化成cCR,且治疗过程中未出现梗阻、出血及穿孔等需要外科干预的情况,因此目前无根治性及姑息性手术治疗执政,暂不考虑外科手术,建议继续内科治疗。
内科:根据影像学判效PR,复查CT确认PR,提示目前治疗方案有效,但患者应用7周期治疗后出现I度末梢神经毒性和奥沙利铂过敏,因此建议停用奥沙利铂改为卡培他滨+曲妥珠单抗+PD-1单抗维持治疗。
影像科:根据患者治疗前、治疗后首次及再次复查CT看,原发病灶胃壁增厚明显减轻,肝转移病灶明显缩小,部分病灶消失,首次CT判效PR,再次复查CT确认PR。提示内科治疗有效。
MDT汇总意见:目前经7周期XELOX+曲妥珠单抗+PD-1单抗治疗有效,复查CT确认PR,治疗过程中未出现梗阻、出血及穿孔等需要外科干预的情况,因此继续内科治疗为主,化疗出现奥沙利铂的Ⅰ度末梢神经毒性和过敏,因此下阶段建议停用奥沙利铂进入维持治疗。
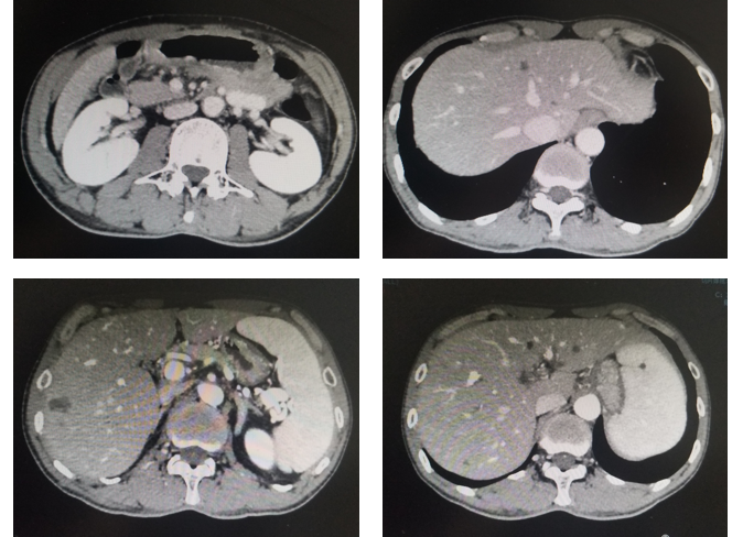
治疗:现给与卡培他滨+曲妥珠单抗+PD-1单抗维持治疗3周期,末次复查CT见图4,血肿瘤标志物AFP水平变化(图5)。

图5. 腹部CT平扫+强化(治疗后7月,2020年5月)
该患者为中年男性,首诊考虑AFP和HER-2双阳性的晚期胃癌合并多发肝转移,无根治性手术及转化治疗机会,晚期一线给与XELOX+曲妥珠单抗+PD-1单抗治疗7周期,期间复查CT确认PR,提示治疗有效,因奥沙利铂不良反应改为卡培他滨联合PD-1单抗维持治疗,治疗过程中肿瘤持续缩小,起病时异常增高的血肿瘤标志物AFP明显下降,目前继续维持治疗中。
反思之处:HER-2阳性晚期胃癌一线给与XELOX方案化疗+曲妥珠单抗靶向治疗+PD-1单抗免疫治疗时,要注意监测该方案带来的不良反应,特别是肿瘤负荷较大时尤应该注意。由于该方案有效率高,可能带来较多的肿瘤坏死,特别是联合PD-1单抗治疗可能合并免疫治疗带来的一系列不良反应。
1、这是一例比较特殊的HER-2阳性的晚期胃癌患者,患者起病时血肿瘤标志物AFP明显升高,合并多发肝转移,提示预后不佳,经化疗联合靶向治疗、PD-1单抗治疗后获取了长时间的PR状态,结果是令人欣喜的。
2、该病例提示我们应该重视胃癌患者肿瘤标志物AFP的检测。AFP升高胃癌有时称为AFP阳性胃癌,具体的cutoff值尚无统一标准,这类患者有着特殊的临床特征,分化更差,起病时往往容易合并肝及淋巴结转移,高度侵袭性和更恶性的生物学行为。临床资料统计发现AFP水平高于正常值的比例约为14%左右,接近HER-2阳性胃癌的比例,因此,临床上需要对这类患者进行识别和深入研究,有可能改善这类患者的预后。针对AFP阳性胃癌患者的治疗仍参照普通胃癌的治疗方案,但患者生存劣于AFP阴性患者。有文献提示AFP阳性胃癌中DC、CTL和NK细胞明显减少,Treg细胞明显增多,提示肿瘤组织中是一个明显的免疫抑制状态,那么免疫治疗在这类胃癌中的价值需要进一步探索。
3、2019年ASCO,报道了一项HER-2阳性胃癌的Ⅱ期研究,纳入37例患者,使用XELOX联合曲妥珠单抗和帕博利珠单抗治疗,其有效率高达89%,DCR为100%,基于此结果,全球多中心随机Ⅲ期临床研究Keynote-811正在进行中。今年的ASCO的PANTHERA研究,43例HER-2阳性的患者,使用顺铂+卡培他滨+曲妥珠单抗+帕博利珠单抗一线治疗,ORR 76.7%,DCR 97.7%,mOS为19.3个月,mPFS为8.6个月。疗效依然是惊人的。但是两个研究的些许差异,可能与研究设计及联合不同铂类有关,有待进一步的探索。
4、结合以上分析回顾我们的这个病例,患者起病时AFP高达1335ng/ml,HER-2阳性,晚期一线XELOX方案化疗联合曲妥珠单抗和PD-1单抗治疗后AFP维持在10ng/ml左右,最佳疗效为确认PR,PFS长达8个月,目前仍在维持治疗中,耐受性较好。因此,对于HER-2、AFP双阳性的晚期胃癌患者,化疗联合曲妥珠单抗和PD-1单抗是一个新的尝试,也需要更多的临床数据来验证。若患者及家属有意愿,未来观察时间足够长的话,可以考虑手术治疗,争取有机会达到无瘤生存的状态。
天津医科大学肿瘤医院消化肿瘤内科主治医师、讲师
中国生物医学工程学会肿瘤靶向技术分会委员
中国老年医学学会老年机构管理分会第一届委员会伦理学术工作委员会委员
中国抗癌协会肿瘤营养与支持治疗专业委员会化疗学组组员
主要致力于消化道肿瘤的诊治及肿瘤营养,曾获得中国抗癌协会肿瘤营养与支持治疗专业委员会先进个人奖,参与获得中国抗癌协会科技奖一等奖、中华医学科技奖二等奖及华夏医学奖三等奖。第一作者发表中英文文章10余篇。
天津医科大学肿瘤医院消化肿瘤内科 副主任医师
中国抗癌协会肿瘤药物临床研究专委会青委会副主任委员
中国抗癌协会肿瘤支持治疗专委会委员
中国抗癌协会化疗专业委员会委员
CSCO青年专家委员会委员
中国抗癌协会胃癌专业委员会青委会委员
中国医师协会结直肠癌肝转移专业委员会委员