当前位置:肿瘤瞭望>资讯>正文

例精图治丨遵循指南,参考经验——曲妥珠单抗与抗血管生成药物强强联合,开启HER2阳性胃癌患者超长待机之路

作者:肿瘤瞭望   日期:2021/6/7 11:44:53  浏览量:14816

肿瘤瞭望版权所有,谢绝任何形式转载,侵犯版权者必予法律追究。

病例报告者:吕慧芳 河南省肿瘤医院 病例点评专家:陈小兵 河南省肿瘤医院

编者按:本期“例精图治”,河南省肿瘤医院的吕慧芳副主任医师为我们分享了一例晚期HER2+胃癌合并肝肺、腹膜后、淋巴结多处转移患者的治疗过程。该患者初诊时HER2状态不明,一线治疗予以SOX方案化疗两周期接近PR后行全胃切除术,术后继续行SOX方案化疗4个周期。随访期间,因肿瘤标记物CA199升高,给予“替吉奥”单药化疗2周期。二线、三线治疗分别用“伊立替康”单药、局部放疗序贯抗血管生成治疗,但效果并不理想。


免疫组化结果示HER2(3+)后,遂给予抗HER2联合治疗,其中,四线用抗血管生成治疗联合曲妥珠单抗联合多西紫杉醇、五线用抗血管生成治疗联合曲妥珠单抗联合依托泊苷、六线用抗血管生成治疗联合曲妥珠单抗联合卡培他滨治疗,目前患者评效SD。继续在当地医院原方案治疗中,患者状态良好,生存期仍在继续延长......


病历简介


患者初诊信息:


赵某,男,56岁,农民,ECOG:0分,因“间断上腹痛1月余,伴呕血、黑便10余天”于2016年8月22日入院,患病以来,体重无明显减轻。


查体:神清,腹软,上腹部剑突下压痛阳性。身高:159cm ,体重:58kg;体重指数:1.57kg/m2;营养风险评分NRS-2002:1 分;VTE评分:2分


个人史:患者既往体健。吸烟史20年,平均20支/日,戒烟4月;无饮酒史,否认家族遗传病史。


胃镜(2016-8-22):(贲门、胃体)上部小弯侧及后壁见大片浸润、隆起、糜烂。胃镜病理:(贲门胃体)腺癌。


CT(2016-8-22):1、胃体癌并肝胃间、腹膜后多发淋巴结转移,强化均匀,最大横径约17mm。2、双侧膈肌脚后及纵隔内多发淋巴结,部分增大,最大横径约14mm。3、双肺多发小结节,考虑转移。


CT(2016-8-22):胃体小弯侧增厚,肝胃间、腹膜后多发淋巴结转移,双肺多发转移。


目前诊断:贲门胃体腺癌 【cT4aN2M1 Ⅳ期HER2状态不明】


诊疗经过


一、一线治疗


1、第1次MDT:考虑该患者胃癌广泛转移,Ⅳ期,已经失去手术根治机会,暂不考虑手术治疗,以内科系统治疗为主。若出现外科急症,再考虑立即进行外科手术干预。对于晚期胃癌的姑息一线治疗,以化疗为主,并建议行HER2基因检测,根据HER2结果,考虑是否联合靶向治疗。患者因经济原因,同时曲妥珠单抗未进入医保,价格昂贵,拒绝进行基因检测和靶向治疗。


2016.8~2016.10给予SOX方案化疗2个周期(奥沙利铂:200mg d1,替吉奥:60mg po Bid,q21d),疗效评价:接近PR。



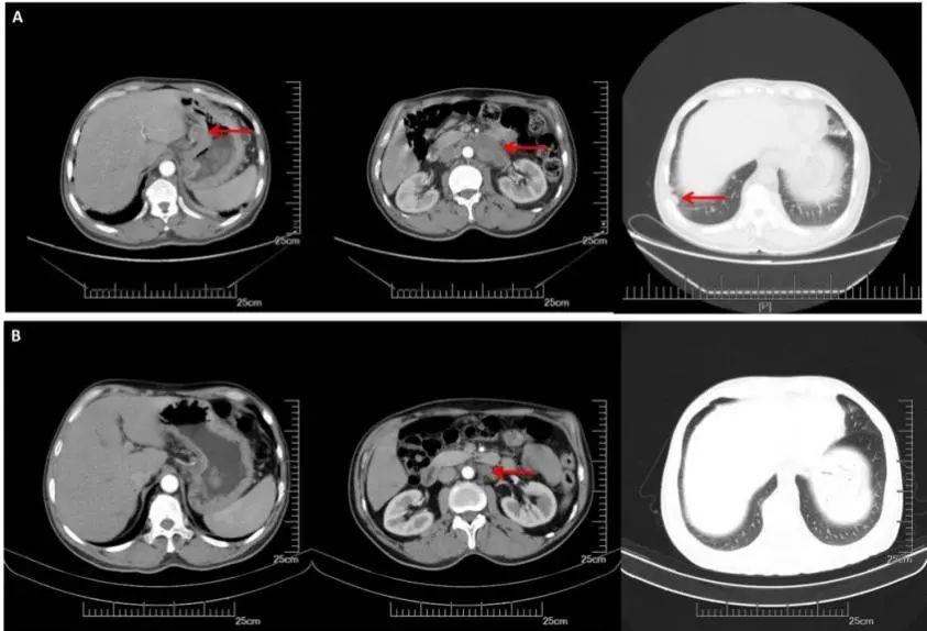
A:CT增强(2016.08.22): 胃体小弯侧增厚,肝胃间、腹膜后多发淋巴结转移,双肺多发转移。B:2周期化疗后CT增强(2016.10.19):胃壁增厚减轻,淋巴结明显缩小,双肺多发转移灶几乎消失


2、第2次MDT:该患者两个周期的一线治疗方案,双肺转移灶基本完全消失,腹腔淋巴结较前缩小,疗效评估接近PR,但目前仍然无根治的手术机会,建议继续SOX方案化疗,同时,仍要建议患者行HER2基因检测。但患者提出既往曾出现过呕血病史,惧怕再次出现呕血状况发生,遂强烈要求行手术治疗。


在与外科医生反复探讨商议之后,由患者及家属共同签署手术知情同意书后2016.10.28行“全胃切除术”。


术中所见:无腹水,腹腔内轻度粘连,腹膜、大网膜、肝脏、胰腺、脾脏、腹膜后、盆腔无转移结节,肿瘤位于贲门胃体,大小约5*6cm,侵出外膜,胃窦大弯侧、胰腺上缘腹膜后可见多个肿大淋巴结,与周围脏器无粘连。


术后病理(2016.11.1):全胃中分化腺癌,合并部分粘液腺癌,侵及外膜,细胞退变,符合化疗后反应。(两切缘)干净。(大网膜)未受累。(贲门旁淋巴结)2/5。(小弯侧淋巴结)1/5,(幽门下淋巴结)0/2,(8组淋巴结)0/2,(13组淋巴结)1/2,(大弯侧淋巴结)0/1。


2016.12.5,2017.1.9,2017.2.6,2017.3.2继续行SOX方案化疗4个周期(奥沙利铂:200mg d1,替吉奥:60mg po Bid,q21d)。


3、随访检查


复查肿瘤标记物CA199升高,于2017.7.05,2017.8.27给予“替吉奥”单药化疗2周期(替吉奥:60mg po Bid,q21d)。


CT(2017.9.29):1、胃癌术后改变,吻合口增厚,较前减轻。腹膜后可见多发增大淋巴结影。右侧锁骨上、双侧膈肌脚后及纵隔内见多发淋巴结,部分较前增大,双肺散在小结节,较前变化不大。


疗效评价:PD


二、二线化疗


2017.10.1,2017.11.7,2017.12.11,2018.1.19,2018.02. 24给予单药“伊立替康”化疗5个周期(伊立替康 160mg d1,8 q21)。


CT(2018.3.27):胃癌术后改变,吻合口增厚,较前减轻。腹膜后可见多发增大淋巴结影,较前缩小。右侧锁骨上、双侧膈肌脚后及纵隔内见多发淋巴结,部分较前增大。双肺散在小结节,较前变化不大。


疗效评价:PD


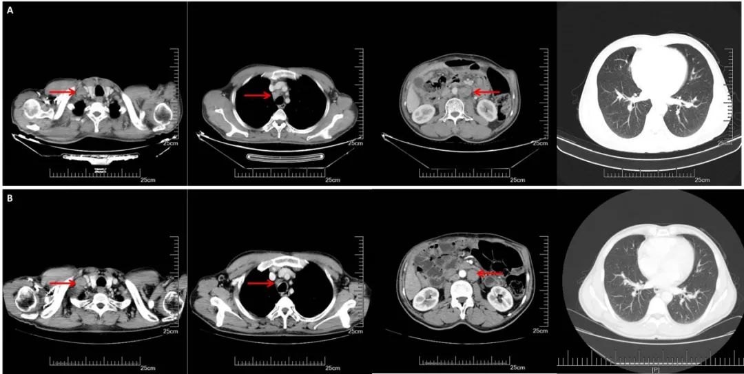
A:CT增强(2017.09.29):右锁骨上,纵膈,腹腔淋巴结明显增大,双肺无明显变化;B:CT增强(2018.03.27):腹膜后多发增大淋巴结较前缩小,右侧锁骨上纵隔内见多发淋巴结,部分较前增大,双肺较前变化不大。


三、三线局部放疗序贯抗血管生成治疗


2018.4.10~6. 5给予右锁骨上、纵隔及腹膜后转移淋巴结放疗DT:50. 4Gy/28f,并序贯给予口服阿帕替尼维持治疗(250mg,qd,po),2018.11.7日患者因进食后腹痛,并伴有恶心呕吐,诊断为“肠梗阻”。


CT(2018.11.7):腹膜后多发增大淋巴结影,考虑转移,部分较前增大。双侧锁骨上、双侧隔肌脚后及纵隔内多发增大淋巴结,考虑转移,部分较前、增大。双肺多发小结节,较前增多、增大,转移可能。


疗效评价:PD


四、四线抗血管生成治疗联合曲妥珠单抗联合多西紫杉醇


免疫组化(2018.11.14):HER2(3+),PD-L1<1%,MSS。


2018.11.15行“多西紫杉醇+阿帕替尼”方案治疗1周期(多西紫杉醇 60mg d1,8,阿帕替尼 250mg qd),于2018.12.17行 “阿帕替尼+曲妥珠单抗+多西紫杉醇”治疗1周期(曲妥珠单抗 8mg/kg,多西紫杉醇 60mg d1,8,q21;阿帕替尼 250mg qd)。因阿帕替尼出现严重的手足综合征,并伴有较严重的胃肠道反应,遂将抗血管生成药物阿帕替尼更换为安罗替尼,于2019.01.12、2019.01.29、2019.02.12,2019.03.02、2019.03.25、2019.04.23行“安罗替尼+曲妥珠单抗+多西紫杉醇”治疗6周期(曲妥珠单抗 8mg/kg,多西紫杉醇 60mg d1,8,安罗替尼 10mg q21),患者耐受性良好。


CT(2019. 5.16):双侧锁骨上、双侧膈肌脚后间隙、脊柱左旁及纵隔多发淋巴结,部分较前增大:腹膜后及右侧髂血管旁多发淋巴结,部分较前减小。余较前相仿。双肺多发转移瘤。较前增多增大。


疗效评价:PD。


五、五线抗血管生成治疗联合曲妥珠单抗联合依托泊苷


2019.05.17、2019.06.17,2019.07.15、2019.08.21、2019.09.22采用“曲妥珠+安罗替尼+依托泊苷”化疗5个周期(曲妥珠单抗 8mg/kg,依托泊苷 100mg d1-5,安罗替尼 10mg q21),2019.09.25突然出现胸闷气短,症状逐渐加重,诊断为自发性气胸,原因为右肺转移灶破溃后形成,给予置入胸腔闭式引流管处理后,右肺复张良好,患者出院休息。


CT(2019.10.25):双肺多发转移结节,较前明显增多增大。双侧锁骨上、双侧膈肌脚后间隙、脊柱左旁、纵隔多发肿大淋巴结,较前变化不明显。


疗效评价:PD


六、六线抗血管生成治疗联合曲妥珠单抗联合卡培他滨


2019.10.26、2019.11.27、2019.12.25、2020.01.19、2020.2.29采用“曲妥珠单抗+安罗替尼+卡培他滨”治疗5个周期(曲妥珠单抗 8mg/kg,卡培他滨 1.5 d1-14,安罗替尼 10mg q21)。


CT(2020.05.27):双肺多发转移瘤,较前大致相仿。双侧锁骨上、双侧膈肌脚后间隙、脊柱左旁、纵隔、腹腔、腹膜后及右侧髂血管旁等多发淋巴结,部分肿大,较前大致相仿。


疗效评价:SD



A:CT增强(2018.11.07): 腹膜后多发淋巴结转移,部分较前增大。双侧锁骨上淋巴结转移,部分较前增大,双肺多发结节,转移可能;B:CT增强(2019.05.16):腹膜后淋巴结较前缩小,双肺转移较前增多增大;C:CT增强(2019.10.25):腹膜后淋巴结稳定,双肺转移较前增多增大;D:CT增强(2020.05.27):双肺转移瘤及腹腔淋巴结总体稳定。


患者目前继续当地医院原方案治疗中,1月前电话随访,患者一般状况良好,ECOG评分0分,饮食睡眠良好,生存期仍在继续延长……


专家点评


这是一例HER2阳性晚期胃癌应用抗HER2治疗和抗血管生成治疗长期获益的患者,目前的生存期接近5年。我们知道,晚期胃癌患者的生存期通常难以超过1年,而这位患者创造了生命的奇迹,是一个非常让人欣喜的结果。对于该患者的诊疗过程进行回顾梳理,我们可以发现这个病例里面有许多可圈可点之处。


该患者发现时即为晚期不可手术的胃癌患者,2个周期化疗后,疗效接近PR,给予原发灶切除,减少了出血的风险,为后续治疗提供了良好的保障,强有力的多学科团队(MDT)对整个治疗决策起到了良好的推动作用。这也是我们这个患者取得超长生存期的首要原因。


在初始治疗开始,曾多次反复建议患者进行HER2检测,根据检测结果是否加用靶向治疗,但患者因为经济原因未能进行检测。患者在初始的一线治疗、二线治疗都严格按照指南的要求,进行合理的排兵布阵,为后续的成功治疗奠定了良好的基础。胃癌三线选择了阿帕替尼抗血管生成治疗,但临床上经常见到大多数患者对标准剂量阿帕替尼(850mg/d)耐受性差,尽管我们进行了减量(250mg/d),该患者也产生了难以耐受的手足综合征等毒副作用,遂换用安罗替尼继续维持治疗。随着曲妥珠单抗纳入医保,患者也享受到了国家大好政策的红利。


日本一项Ⅱ期(JFMC45-1102)临床研究也显示:对于既往未接受曲妥珠单抗治疗的HER2阳性晚期胃癌患者,曲妥珠单抗联合紫杉醇中位OS可达16.8个月,ORR可达37%,该方案可作为既往未使用过曲妥珠单抗的HER2阳性胃癌的治疗选择。因此,在后续治疗过程中,我们仍然没有放弃抗HER2的治疗。目前研究证实,肿瘤细胞HER2与VEGF表达呈正相关,VEGF表达受HER2信号通路调控,提示抗HER2治疗联合抗血管治疗可能起到强强联合的功效。该患者在三线抗血管生成治疗进展后,四线联用曲妥珠单抗靶向治疗,PFS超过两年余,病情得到了良好的控制,延长了生存期。


HER2阳性胃癌生存期短,预后极差,是一个特殊的胃癌亚群,该患者能够获得长期的生存,得益于十六字方针:遵循指南,参考经验,结合意愿,个体抉择。另外,曲妥珠单抗联合抗血管生成治疗是否可以延长生存期,以及曲妥珠单抗能否跨线治疗,仍需要后续的临床研究去验证,而该患者的成功经验可以为未来对这些问题的探索提供一个很好的思路。


病例报告者简介

吕慧芳

河南省肿瘤医院消化肿瘤内科副主任医师,医学博士

中国抗癌协会肿瘤营养青委会委员

中国康复医学会中西医结合专委会康复学组委员

中国医药教育协会消化道疾病专委会委员

中国研究型医院消化外科专委会神经内分泌肿瘤学组委员

河南省抗癌协会肿瘤药物临床研究专委会青委会副主委

河南省抗癌协会神经内分泌肿瘤专委会及肿瘤临床精准诊断与治疗专委会常委

河南省抗癌协会化疗专委会,食管癌、胰腺癌、腹膜后肿瘤专委会委员


病例点评专家简介

陈小兵

河南省肿瘤医院大内科副主任、消化内二主任

医学博士、主任医师,郑州大学教授、博士生导师

中国抗癌协会(CACA)肿瘤防治科普专委会全国常委兼副秘书长

CACA整合肿瘤学分会、原发不明与多原发肿瘤专委会全国常委

CACA整合肿瘤心脏病学、肿瘤精准治疗、肿瘤营养专委会全国委员

中华医学会肿瘤学分会胰腺癌学组、康复支持治疗学组全国委员

中国临床肿瘤学会(CSCO) 患者教育专家委员会全国常委兼副秘书长

CSCO胆道肿瘤专委会全国委员、胰腺癌专委会全国委员兼青委会副主委

中国研究型医院学会精准医学与肿瘤MDT专委会全国常委

中国医师协会中西医结合医师分会肿瘤病学专委会全国常委

本内容仅供医学专业人士参考


伊立替康

分享到: 更多